Dental Cavity
Are you aware of the dental cavity in your teeth? This is one of the most prevalent oral health diseases, mainly caused by bacteria in your mouth.
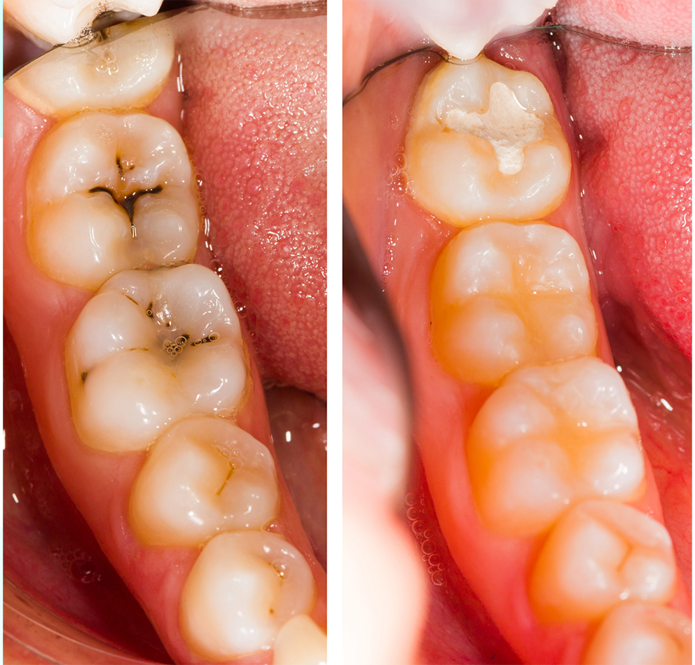
Dental caries can occur at any age group where oral health maintenance is ignored. Dental cavity can be seen in young adults most commonly. The food responsible for dental caries is mostly acidic or carbonated drink. Sugar is most acidic and can increase tooth susceptibility to the cavity.
Carbonated drinks tend to remove calcium and phosphorus from the surface layer of the enamel making bacterial access to cavity must easier.
The cavity can appear dark or brownish black. The most common solution for small or medium cavity is Resin fillings, also known white color fillings. On occasions when the size of the cavity is larger and significant amount of tooth structure is lost, a ceramic inlay, onlay or crown is the choice for treatment. Treatment of the cavity will prevent the tooth from any further damage.
You can avoid cavities by brushing twice a day and flossing daily. Visiting a dentist every 6 months for regular exam and cleaning will keep your teeth healthy. Fluoride rinses every day is an effective means of cavity reduction. You can learn more about treatment by visiting our specialists at Ridgetop Dental International location. Call to schedule an appointment or email us.
