Misaligned Teeth
Concerned about misaligned or crooked teeth? You are not alone; 75% of the population develops some form of teeth alignment disorder as per Indian Orthodontic Association.
Most of the Misalignment is developmental mismatch where teeth size to jaw size is not ideal. Misalignment has a direct correlation to dental disorders. Are you are noticing any of the following disease or signs.
- Are you noticing your teeth more crowded than before?
- Are you embarrassed with teeth protrusion?
- Do you notice spaces between teeth increasing?
- Do you see more bleeding around your teeth?
- Do your front teeth show more mobility than other teeth?
- Do crowded teeth create social embarrassment?
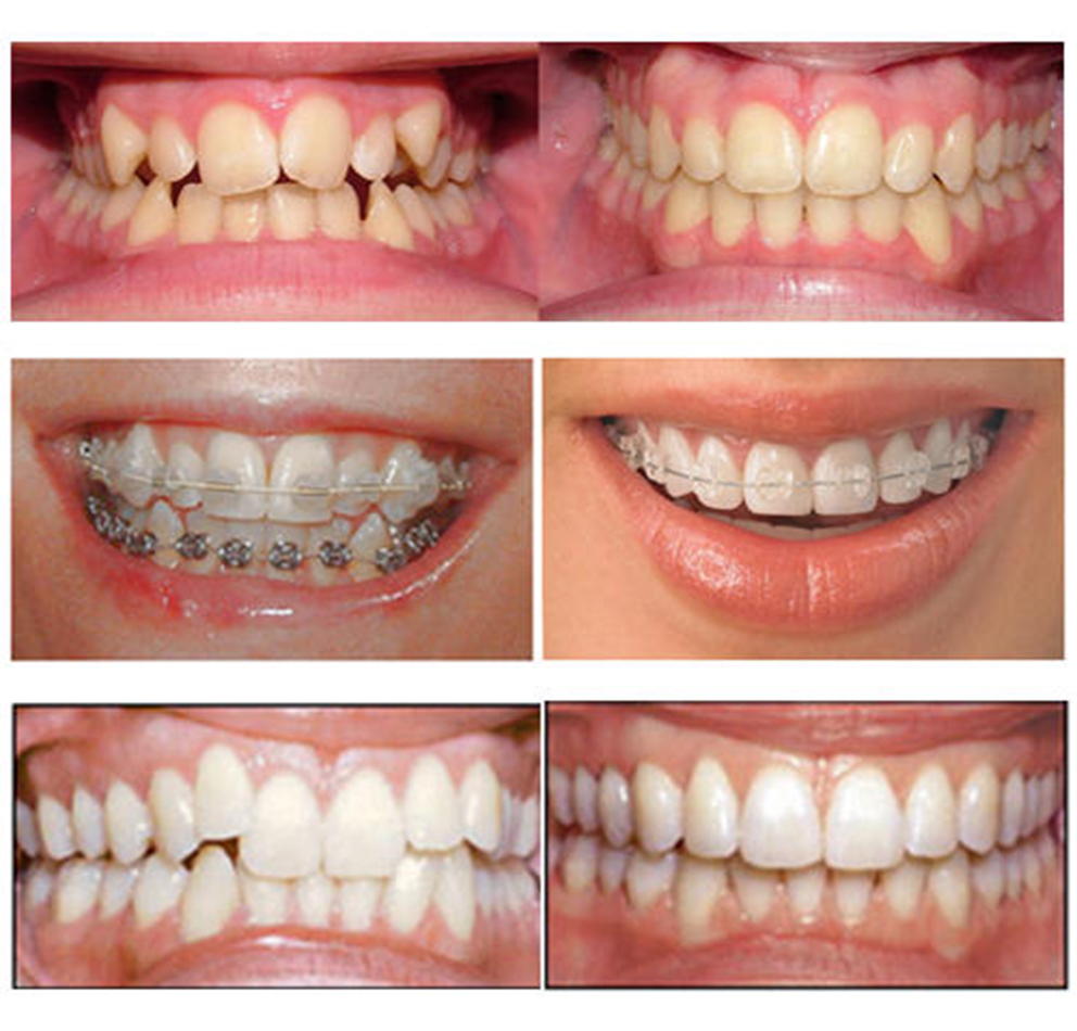
Crowded or Crooked teeth impact indirectly with no pain to people. Loss of bone around the crowded teeth is gradual and painless.
Food traps around crowded teeth resulting in gum disease. People ignoring the crowded teeth may eventually show advanced bone loss. The condition of the crowding or The severity of crowding determines…
Correcting misaligned or Crooked teeth is possible with clear or ceramic braces. The condition of the crowding determines the timeline of the brace’s treatment. Total treatment time can be as minimal as six months to 2 years.
To learn more about the correction of your crowded teeth, visit one of our centers and speak to our Braces specialist. You can schedule an appointment by calling our office.
